mIHC(多重免疫组化)技术能够在同一张组织切片上实现对多个靶标蛋白的同时标记与可视化,结合高分辨率荧光成像及专业分析软件,可深入解析组织微环境中的多种生物学信息。典型应用包括:
多重蛋白共定位分析:检测两个或多个蛋白在相同细胞或亚细胞结构中的共表达情况;
细胞表型鉴定与定量:通过特定标志物组合识别不同细胞类型(如免疫细胞分型、肿瘤细胞异质性);
空间关系分析:评估不同细胞群体在组织中的分布、邻近关系及浸润模式;
信号通路活性研究:同时对多个磷酸化蛋白或通路相关蛋白进行标记,揭示功能状态;
预后生物标志物挖掘:结合临床数据,定量分析特定细胞表型或空间结构与疾病进展的相关性。
mIHC 尤其适用于肿瘤免疫、神经科学、发育生物学等需要复杂微环境解析的研究领域。
TSA(Tyramide Signal Amplification,酪胺信号放大)是一种基于酶促沉积反应的高灵敏度检测技术,其核心步骤包括:
一抗结合:特异性一抗与目标抗原结合;
二抗耦联:辣根过氧化物酶(HRP)标记的二抗与一抗结合;
荧光酪胺激活与共价沉积:加入含荧光基团的酪胺底物,在HRP和过氧化氢(H₂O₂)催化下,酪胺自由基迅速生成并共价交联至抗原邻近的酪氨酸残基,实现信号局部放大;
抗体剥离与循环染色:通过温和加热或化学处理去除已结合抗体,保留共价结合的荧光信号,随后进行下一轮染色。
TSA技术具备高信噪比和信号放大能力,且不受一抗种属限制,仅需更换荧光酪胺即可实现多轮标记,是实现多色mIHC panel的理想方法。
为确保最终实验结果的可靠性与重复性,我们建议按以下步骤进行系统性预实验验证:
一抗特异性验证:
对panel中每个抗体进行梯度浓度测试,评估其特异性信号与背景噪声;
多重染色可行性评估:
根据所使用的组织类型(如石蜡切片、冰冻切片)及处理方式,评估组织耐受性;
优化实验流程,如抗原修复条件、抗体孵育时间等,确保多重染色后组织形态完整、信号清晰。
为保证多重免疫组化(mIHC)实验结果的准确性与可重复性,合格的样本制备是首要基础。以下分别针对石蜡切片、冰冻切片及细胞爬片三类常用样本,列出其关键制备与保存规范。
石蜡切片
制备标准:切片应保持组织形态完整、厚度均匀(常规推荐3~5 μm),无褶皱、撕裂或刀痕。
保存条件:短期内(建议不超过2周)可置于避光、干燥的室温环境(21–25°C)下保存;若需长期存放,应密封后冷藏于2–8°C,并注意防潮防霉。
冰冻切片
前期处理:组织需先经4%多聚甲醛充分固定,再通过梯度蔗糖溶液(如10%~30%)进行脱水处理,以降低冰晶形成,最后使用OCT复合物进行包埋。
切片与保存:切片厚度通常为8 μm,也需采用防脱载玻片贴附,确保组织完整平整。切好后应快速密封,并保存于–80°C低温环境中,避免反复冻融。
细胞爬片
细胞状态:建议使用贴壁良好、生长状态活跃的细胞,接种密度以80%–85%为宜,避免过度融合影响细胞形态与抗原可及性。整个培养过程需严格无菌操作,确保无微生物污染或细胞异常聚集。
爬片处理与保存:细胞爬片通常需经固定(如4%多聚甲醛)后充分洗涤。若不能立即染色,可将其密封后短期存于2–8°C;若需长期保存,建议置于–80°C,并避免冻融循环。
成功的mIHC实验需统筹优化多个环节,建议重点关注以下事项:
样本处理:
全程保持切片湿润,避免干燥导致的非特异性结合;
根据组织类型及靶点特性选择合适抗原修复液与修复条件。
实验设计:
染色顺序:低丰度靶点优先标记;高丰度靶点后染,合理规划荧光通道顺序,避免相邻通道串色,必要时进行光谱拆分的验证与补偿;
占位效应规避:遵循“先低后高”“先少后多”原则,避免前期高丰度靶点过度占位影响后续染色。
信号平衡:
通过预实验调整抗体浓度与TSA反应时间,使各通道信号强度适中、层次分明,避免过度放大导致背景提升或信号饱和。
抗体:
运输条件:4℃冷链运输;
短期储存:收到后可于4℃保存1–2周;
长期储存:建议分装后存于–20℃,避免反复冻融;
有效期:出库后一年质保。
TSA试剂盒:
储存条件:避光保存于4℃,启用后严防污染;
有效期:6个月;
稳定性指示:若荧光酪胺溶液出现沉淀或颜色显著变化,提示可能失效,建议停止使用。
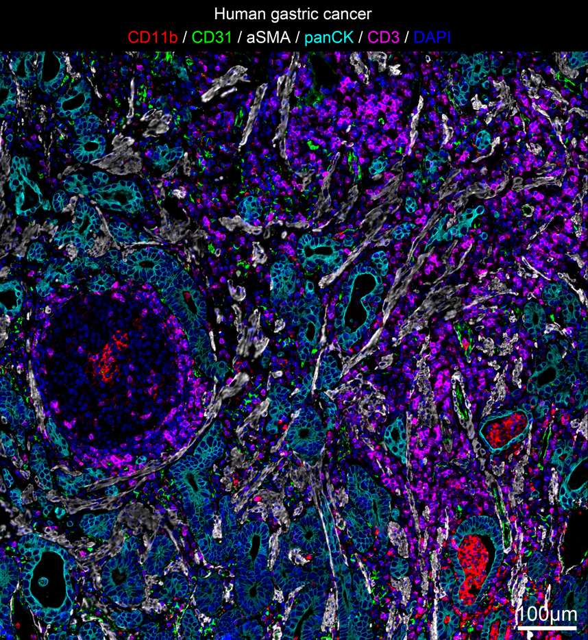
成熟Panel
| 人胃癌微环境抗体组合 |
| 红/CD11b, 绿/CD31,白/aSMA ,青/CD3, 蓝绿/pan CK, 蓝/DAPI |
| 标记细胞 肿瘤微环境中T细胞(CD3+),髓样细胞(CD11b+),血管内皮细胞(CD31+), 成纤维细胞(aSMA+),以及肿瘤细胞(pan CK) |
TSA试剂盒
华安生物联合明虹推出新一代TSA染色试剂盒。该试剂盒包含全流程试剂,具备信号放大能力强、背景低、操作便捷的特点。产品经过严格质控,批次稳定性优异,旨在为多重染色与低丰度靶标检测提供可靠支持。
| 货号 | 产品名称 | 说明 |
|---|---|---|
| 900801 | 虹和 CmTSA 多重免疫荧光染色试剂盒(套装)IRISKit CmTSA Kit | 1Rabbit+1Mouse+1Rat |
| 900802 | 虹和 CmTSA 多重免疫荧光染色试剂盒(套装)IRISKit CmTSA Kit | 2Rabbit+1Mouse |
| 900803 | 虹和 CmTSA 多重免疫荧光染色试剂盒(套装)IRISKit CmTSA Kit | 1Rabbit+2Mouse |
| 900804 | 虹和 CmTSA 多重免疫荧光染色试剂盒(套装)IRISKit CmTSA Kit | 2Rabbit+1Rat |
| 900805 | 虹和 CmTSA 多重免疫荧光染色试剂盒(套装)IRISKit CmTSA Kit | 1Rabbit+2Rat |
| 900806 | 虹和 CmTSA 多重免疫荧光染色试剂盒(套装)IRISKit CmTSA Kit | 2Mouse+1Rat |
| 900807 | 虹和 CmTSA 多重免疫荧光染色试剂盒(套装)IRISKit CmTSA Kit | 1Mouse+2Rat |
| 900808 | 虹和 CmTSA 多重免疫荧光染色试剂盒(套装)IRISKit CmTSA Kit | 3Rabbit |
| 900809 | 虹和 CmTSA 多重免疫荧光染色试剂盒(套装)IRISKit CmTSA Kit | 3Mouse |
| 900810 | 虹和 CmTSA 多重免疫荧光染色试剂盒(套装)IRISKit CmTSA Kit | 3Rat |
| 900102 | 虹和超视界荧光淬灭试剂盒 IRISKit HyperView Quench Buffer | 10T 光淬系统 |
| 900103 | 虹和超视界荧光淬灭试剂盒 IRISKit HyperView Quench Buffer | 4T 光淬系统 |
| 900402 | 虹和超视界抗体洗脱试剂盒 IRISKit HyperView Advanced Ab-Stripping Kit |
数据对比展示
*免疫荧光与TSA染色(使用HUABIO MESA-IRSTM 空间抗体搭配TSA染色试剂盒)实验效果对比展示:
*相同实验条件下(一抗浓度,孵育时间),与传统IF染色技术相比,TSA染色可以显著增强荧光信号。
*相同实验条件下(一抗浓度,孵育时间),与传统IF染色技术相比,TSA染色可以显著增强CD4/CD8/CD20 荧光信号。
*相同实验条件下(一抗浓度,孵育时间),与传统IF染色技术相比,TSA染色方法对肝脏低表达的CD31检测灵敏度更高,有效标记了肝实质微小血管网络。


浙公网安备 33019202000643号